1 час назад
Криптобиржа по-русски: прощай анонимность, привет лицензии

ЦБ и Минфин представили финальную архитектуру крипторынка в России. Законопроект «О цифровой валюте» должен вступить в силу уже 1 июля 2026 года. Эпоха «дикого запада» официально заканчивается.
Главные изменения для пользователей:
Забудьте об анонимности: любая покупка через российских посредников потребует идентификации. Сделки свыше 100 тыс. рублей — только с полной верификацией.
Тесты для всех: хотите купить биткоин? Придется пройти обязательное тестирование (даже если вы считаете себя профи). «Неквалам» светит лимит на покупку (ранее обсуждалось 300 тыс. руб.) и доступ только к активам из белого списка (вероятно, BTC и ETH).
Криптокошелек как брокерский счет: опыт будет больше похож на программа банка, чем на децентрализованную биржу. Из минусов — никакого стейкинга (пассивного дохода) для обычных пользователей из-за особенностей работы депозитариев.
Платежи: криптой по-прежнему нельзя платить внутри страны, удаление — только для внешнеторговых расчетов.
Что ждет бизнес (обменники и биржи):
5 столпов рынка: появляются лицензируемые биржи, цифровые депозитарии, брокеры, УК и криптообменники.
Жесткий фильтр: обменники должны стать российскими юрлицами с серьезным капиталом и отчетностью перед ЦБ. За работу без лицензии с июля 2027 года — уголовная ответственность.
Блокировки: Государство планирует вытеснять иностранные площадки (Bybit, OKX и др.) не сервисом, а принудительными блокировками, если те не получат лицензию в РФ.
Реальная торговля в «белом» российском контуре запустится ближе к концу 2027 года. Пока же рынок готовится к крупный зачистке «серой» зоны.
Читают сейчас

1 минуту назад
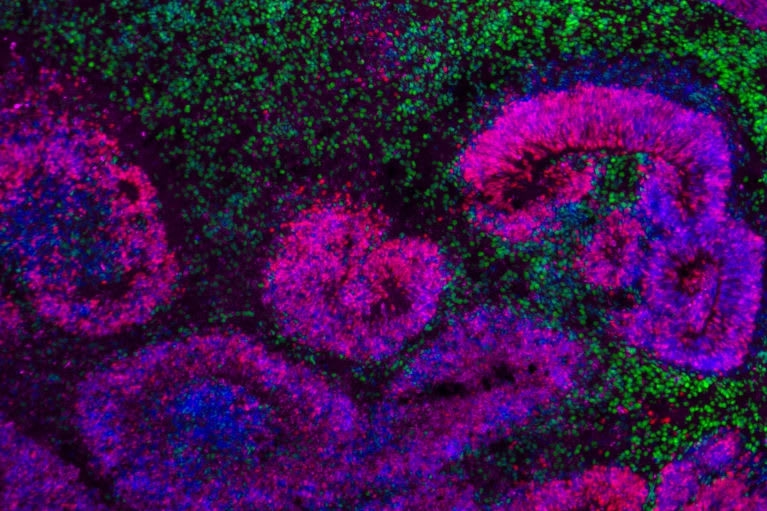
Обнародован высокодетализированный атлас развития человеческого мозга
Ученые из Университета Джонса Хопкинса опубликовали беспрецедентный клеточный атлас развивающегося неокортекса, объединив данные почти 200 независимых исследований. Медиа уже успели окрестить это «рас

13 минут назад
В США робот-доставщик разбил остановку общественного транспорта
В Чикаго робот-доставщик компании Serve Robotics протаранил стеклянную стену автобусной остановки. Запись последствий инцидента быстро разошлась в соцсетях на видео видно, как виновник стоит у разбито

17 минут назад
В Москве прошло награждение победителей Международной олимпиады по промышленной разработке PROD
В Москве наградили победителей и призёров первой Международной олимпиады по промышленной разработке PROD. В соревновании приняли участие 4 тысяч старшеклассников из всех регионов России и 33 стран мир

29 минут назад
ChatGPT для взрослых заморожен бессрочно — OpenAI теперь строит «суперприложение»
OpenAI отложила на неопределенный срок запуск эротического режима ChatGPT, известного внутри компании под кодовым названием Citron mode. Как говорит Financial Times, подход принято после давления со с

57 минут назад
Seiko возродила цифровые часы Rotocall, которые носили астронавты НАСА
Японская Seiko перевыпустила цифровые часы Rotocall, которые использовали астронавты НАСА до 2002 года, в том числе первую американку в космосе Салли Райд. Обновлённая релиз получила обновлённый дизай